Wisdom tooth extractions

A wisdom tooth or third molar is one of the three molars in human teeth which usually start to come through at the back of our gums at each corner of jaw in late teens and early twenties.

By this time, the other 28 adult teeth are usually in place, so there isn’t always enough room in the mouth for the wisdom teeth to grow properly so they may become impacted and require removal.

GET IN TOUCH

lady at dentist
Lady smiling

Wisdom Tooth Extractions

What is a wisdom tooth?

A wisdom tooth or third molar is one of the three molars in human teeth which usually start to come through at the back of our gums at each corner of jaw in late teens and early twenties. By this time, the other 28 adult teeth are usually in place, so there isn’t always enough room in the mouth for the wisdom teeth to grow properly so they may become impacted and require removal.

What is an Impacted Wisdom Tooth?

An impacted wisdom tooth happens when there isn’t enough space for it to break through the gum properly. It can become twisted, tilted, or trapped in the jaw.

There are three types of impaction:

  • Soft tissue impaction: The crown breaks through the bone, but part of it stays covered by gum.
  • Partial bony impaction: Part of the tooth emerges, but some stays stuck in the jawbone.
  • Complete bony impaction: The tooth remains fully enclosed in the jawbone.
Sedation

Why should I have my Wisdom Tooth removed?

Impacted wisdom teeth can trap food and bacteria. This build-up leads to serious dental problems, including:

Gum disease: Plaque toxins cause red, swollen, painful gums. Surrounding teeth and bone may also suffer.

Tooth decay: Plaque breaks down tooth enamel, causing cavities that can spread to other teeth.

Dental abscess: Bacterial infections lead to painful pockets of pus in your gums or wisdom teeth.

Pericoronitis: Infection in the soft tissue around the tooth, often triggered by trapped plaque.

Cellulitis: A bacterial infection spreading to the cheek, tongue, or throat.

Cysts and benign growths: Impacted teeth can cause fluid-filled swellings or cysts if left untreated.

Symptoms of Wisdom tooth infection

Make an appointment with your dentist If you experience any of the following symptoms

Wisdom teeth exam

Make an appointment with your dentist If you experience any of the following symptoms.

  • Red & itchy gum near the wisdom tooth
  • Pain & swelling
  • Pus coming from the gum
  • Lymph glands under the jaw become swollen & sore
  • Finding it difficult to open your mouth
  • Suffering from a fever

How are they Removed?

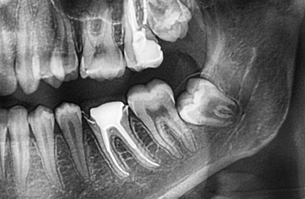
First of all, your dentist will assess your wisdom tooth and carry out an X-ray of your mouth. This gives a clearer view of the position of your teeth in order to determine if it needs to be removed.

We may request a OPG scan, at an additional cost. This is to be completed prior to the extraction appointment to assess the full position of the tooth and its proximity to the ID nerve. This is to ensure we reduce the risk of nerve injury.

The extraction procedure will then depend on the type of impaction you have.  You might need to be referred to a specialist dental surgeon at the hospital.

If the extraction is to be carried out at Abbey Mead you will be given local anaesthetic injections to numb the area so that you will only experience pressure during its removal.

Some procedures only take a few minutes, whereas others can take 20 minutes or longer depending on the complexity.

We also offer IV sedation at the practice

For those who are nervous.

Read More

FOR MORE INFORMATION REGARDING THIS TREATMENT

Call 01822 611 121 Contact
Back to Oral surgery

GET IN TOUCH

What do they say about Abbey Mead?

“Had a check to identify possible problems. Very thorough examination. Listened and responded to my concerns re possible connections to recurrent sinusitis. Identified a decay problem hidden in a sensitive tooth and recommended extraction....”

John

“Amazing experience all the staff are pleasant and the actual treatment was professional and pain free”

Nick

“Excellent care and customer service.”

Pam

“Very friendly and welcoming. Brilliant service well recommended 👌”

Robert

“I recently joined this practice and have already had my initial review and my first filling. Both visits were handled with real professionalism and care. The staff are friendly and welcoming, and my dentist...”

William

“Just before going on a long anticipated holiday I had toothache and was frantic. I phoned the practice and the kindness and understanding of the staff was such a relief. I was seen that...”

Janet

“My dentist took great care over my repair, i thought. In fact i thought that she was quite excellent”

Michael

instagram instagram

Follow Us on Instagram

This error message is only visible to WordPress admins

Error: No feed with the ID 2 found.

Please go to the Instagram Feed settings page to create a feed.

Google Rating
4.9
Google Rating