When your tooth shows signs of decay, we can help to stop it before any further damage is caused. Fillings are there to help restore your tooth back to its normal shape and prevent any further decay.
Only your dentist or therapist can detect whether you have a cavity that needs a dental filling. Therefore regular dental exams are so important. However, if you experience any of the following, you should make an appointment:
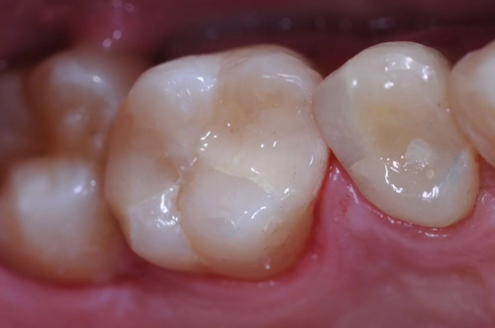
No one type of filling is best for everyone. The choice will be determined by the extent of the repair, whether you have allergies to certain materials, where in your mouth the filling is needed, and the cost.

Composite fillings are matched to be the same colour as your teeth and therefore used where a natural appearance is desired. They are the material of choice for the restoration of small cavities. Major advances in the properties of this material have allowed us to completely change the way we treat decay. With less drilling, we can keep more of your healthy tooth. Composites may not be the ideal material for large fillings as they may chip or wear over time. Coffee, tea, and tobacco can discolour white fillings, and have a shorter lifespan of 3 to 10 years compared to other types of fillings.

Amalgam fillings are resistant to wear and relatively inexpensive. However, due to their dark colour, they are more noticeable than porcelain or composite restorations and are not usually used in very visible areas, such as front teeth. The advantage of dental amalgam is that it does not require the tooth to be dry for its placement and can therefore provide successful restoration in situations which might otherwise lead to the extraction of a tooth.

Glass Ionomer – is often used on the primary teeth or to fill in small areas of decay, as they tend to be very delicate and take considerable wear and tear. When used on a permanent tooth, this type of filling is usually placed in a spot that isn’t subject to extreme pressure or chewing action. Can be used as a temporary filling or semi-permanent.
Dentist or therapist may numb the tooth area before filling.
Then the dentist or therapist will cut through the enamel using a drill to remove any decay. After the dentist removes the decay, they will shape the space to ready it for the filling.
Amalgam is placed into the cavity or with a composite filling your clinician will bond and etch the tooth before placing the filling.
Your filling is shaped to look like a natural tooth and polished so its smooth.
“Had a check to identify possible problems. Very thorough examination. Listened and responded to my concerns re possible connections to recurrent sinusitis. Identified a decay problem hidden in a sensitive tooth and recommended extraction....”
“Amazing experience all the staff are pleasant and the actual treatment was professional and pain free”
“Excellent care and customer service.”
“Very friendly and welcoming. Brilliant service well recommended 👌”
“I recently joined this practice and have already had my initial review and my first filling. Both visits were handled with real professionalism and care. The staff are friendly and welcoming, and my dentist...”
“Just before going on a long anticipated holiday I had toothache and was frantic. I phoned the practice and the kindness and understanding of the staff was such a relief. I was seen that...”
“My dentist took great care over my repair, i thought. In fact i thought that she was quite excellent”
Error: No feed with the ID 2 found.
Please go to the Instagram Feed settings page to create a feed.